Before and After Gallery
“Behold the human Smile, for when it is Balanced and Bright, so to will be the Person Attached”
Dr. Chris Kondas
Incredible results and inspiring journey's — see some of our patients' before and after photos.
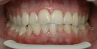
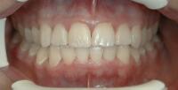
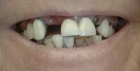
Porcelain Veneers, Crowns and Bridges:
Today’s materials are nearly as strong as Enamel and completely Natural in appearance. They can be used to correct numerous smile defects, from a simple gap closure to a completely broken down smile. Please enjoy.


Before After


Before After


Before After


Before After


Before After


Before After


Before After
Teeth Whitening:
A whiter and brighter smile can have a profound effect on your appearance and presentation. Today the process is simpler than ever and with virtually no sensitivity.


Before After
Invisalign:
Now a crooked smile can be corrected without metal braces. Invisalign is a quicker, less expensive and clear way to straighten and whiten teeth for anyone age 12 and older.


Before After


Before After


Before After


Before After
Dentures:
Today’s Denture Teeth are exquisitely natural looking to where no one would suspect that they are not your own.


Before After


Before After







